심부전으로 인해 해마루 동물병원을 찾은 강아지 환자의 진료 케이스를 통해 강아지의 심장병, 심부전에 대해 알아봅시다.

강아지 심장병과 심부전 심장병은 심장에 발생 가능한 모든 이상 구조적 이상-판막, 심근 질환 등 전도 이상의 총칭으로
심장병의 악화로 심장이 기능하지 않는 상태, 즉 심부전으로 진행되면 다양한 증상이 나타납니다.
개의 심부전의 증상이나 병인론 심장은 혈액 펌프 역할을 하는 장기입니다.따라서 심부전에 걸리면 혈액을 공급받는 모든 장기신장, 위장관, 간장 등에 영향을 미칩니다.

주로 초기에는 기력저하나 운동불내증이나 위장염으로 인한 구토/설사, 신부전으로 인한 요량감소, 요독증 등 다양한 이상이 나타납니다.
좀 더 특징적인 증상으로는 체액 과잉에 의한 폐수종, 흉수, 복수가 발생할 수 있습니다.
신체 검사상 심잡음과 함께 위의 증상이 나타나면 원인으로 심부전이 의심됩니다.
강아지 심장병은 왜 생기지?심장병의 원인은 아주 다양해요.크게는 선천성 구조적 이상이 있으며 심장사상충, 세균 등에 의한 심내막염과 같은 감염성 원인에 의해서도 발생합니다.
약물에 의한 독성(doxorubicin)으로 나타나기도 하며 유전적 요인 또는 원인이 명확하지 않은 심근질환(HCM, DCM)이 원인이 되기도 합니다.

개가 우심부전일 경우 만성적인 저산소증에 의한 폐고혈압에 이어지기도 합니다.
따라서 정확한 진단을 위해서는 철저한 병력청취와 철저한 검사(혈액검사, 흉부방사선, 심장초음파 등)가 필수적입니다.
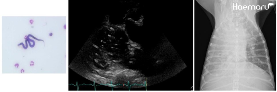
개 심부전 치료 케이스 11세 암컷 샤페이 메리(가명)는 흉수와 복수를 주증하며 마루동물병원에 응급으로 내원한 환자입니다.

검사상 심장사상충 감염이 확인되며 사상충에 의한 폐고혈압이나 우심부전, 이로 인한 흉수 및 복수 발생이 의심되고 있습니다.


microfilaria, 우심내 심장사상반, 방사선상의 흉수소견
치료를 위해 스테로이드제나 항생제 등 심장 사상충에 관련된 조치를 취했습니다.
우심부전의 원인으로 여겨지는 폐고혈압에 대한 약물(silden afil-혈관확장제)도 함께 투약했습니다.

입원 처치 후 폐야 개선 소견 확인
폐고혈압과 우심부전으로 응급내원하신 강아지 메리는 해바라기 중환자실에서 집중치료를 받은 이후 흉수, 복수 및 호흡상태가 개선되어 무사히 퇴원할 수 있었습니다.
오늘 함께 보신 것처럼 개의 심부전의 원인은 다양하며 치료의 성공을 위해서는 정확한 진단이 필요합니다.
해마루동물병원은 내과, 외과, 영상진단과, 응급중환자 의료센터에 분과된 전문진료시스템을 운영하고 있습니다.
특히 24시간 연중무휴 응급중환자 의료센터에는 심낭포, 호흡곤란과 같이 신속 정확한 진단과 치료가 필요한 개, 고양이를 위해 숙련된 전문 의료진이 상주하고 있습니다.
평소 심장병을 앓고 있는 애완동물이 이상증세를 보이거나 발작, 외상, 이물질 섭취 등의 응급상황이라면 신속하게 동물병원을 방문하여 적절한 치료를 받도록 합니다.
강아지의 심장질환케이스를 더 보기▼심장은 온몸에 혈액을 공급하는 펌프역할을 하는 신체에서 가장 중요한 장기중의 하나입니다. 만약 심장이… blog.naver.com 어느덧 7월을 눈앞에 두고 있습니다. 여름이 되면 시원한 수박과 물놀이도 생각나는데 여름의 방해자! 모기… blog.naver.com “개호두(가명)는 심장질환이 있지만 임상증상은 없는 AC VI Mstage B2로 진단되어 심장약을 복용… blog.naver.com


경기도 성남시 분당구 황새우로319번길 8-6 수의과학회관 #강아지심부전 #강아지심장병 #강아지심장질환 #강아지폐수종 #강아지폐고혈압 #해환동물병원 #해환이차진료동물병원