탈장(PPDH) 초음파, CT 진단 및 수술의 계속 구토를 합니다. 고양이 선형 이물질, 횡격막

안녕하세요 본 동물메디컬센터입니다오늘은 고양이 장내의 선형 이물질과 횡격막 탈장 케이스를 살펴 보도록 합시다.고양이 고양이 / 스코티시 폴드 (Scottich Fold) / 중성화 암컷 / 1년 1개월령 / 2.92kg

주요 증상으로 내원하기 전날부터 급격한 식욕저하와 반복적인 구토 증세로 타원하여 횡격막 탈장이 의심된다는 소식을 듣고 정밀검사와 수술을 위해 본원에 내원하였습니다. X-ray

X선 검사에서 정상적으로는 복강 내에 있어야 하는 위와 소장분절, 간의 일부가 심낭 안으로 변위되어 있는 것이 확인되었으며, 횡격막탈장 중 복막심낭 횡격막탈장(PPDH)으로 판단되었습니다.

초음파

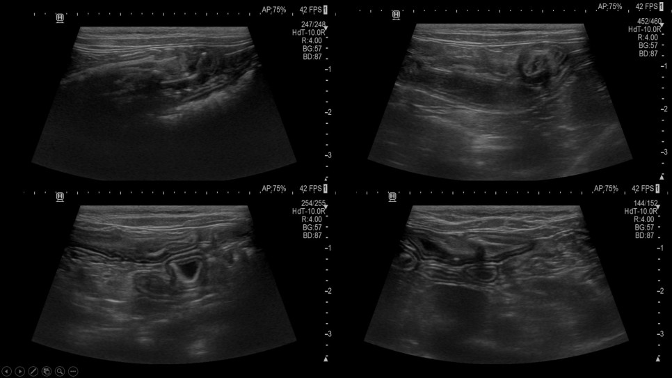
초음파 검사 결과 횡격막 탈장과 함께 소장 내 선형 이물질이 광범위하게 확인되었으며, 이로 인한 장폐색 소견이 동반되고 있는 것으로 확인되었습니다.구토의 직접적인 원인은 선형 이물질에 의한 장폐색이라고 판단되었으나, 횡격막 탈장에 대한 교정도 필요한 상태라고 판단되어 수술 계획을 위한 CT 검사를 실시했습니다.CT

CT 검사로 횡격막 결손부의 크기와 심낭 내에 변위된 복강 장기의 위치를 정확하게 조사했습니다.

또한 선형 이물질에 의해 구불구불한 장분절이 광범위하게 확인되었습니다.

수술

먼저 횡격막의 탈장 부위를 확인하고, 탈장이 된 복강 장기를 원위치로 돌려 횡격막 결손부를 복구했습니다.

선형 이물질에 의해 창자가 꼬여있는 것을 확인하고 나서 패브릭 선형 이물질을 제거했습니다.

뾰족하지 않은 작은 이물질은 소화관에서 대변으로 배출될 수도 있습니다.하지만 소화되지 않는 재질의 큰 이물질은 장폐색을 유발하고 구토, 설사, 식욕부진, 복통 등의 증상을 유발할 수 있습니다.이물질이 뾰족한 경우에는 위장관에 구멍이 뚫리는 천공을 유발하여 복막염에 걸릴 수도 있고, 고양이에서 흔히 발생하는 실 같은 선형 이물질을 잡아먹을 경우에는 장폐색이나 창자 뒤틀림을 유발하기도 합니다.자녀가 이물질을 섭취하는 것을 볼 수 있거나 반복적인 구토, 설사나 식욕부진 등 이물질 섭취가 의심되는 경우에는 내원하여 검사를 받는 것이 좋습니다.특히 실과 같은 선형 이물질을 섭취하는 것을 보거나 입이나 항문에 실이 걸려 있는 경우 실이 눈에 보이거나 닿거나 해서 당기면 위장관의 꼬임이 깊어지거나 소화관에 손상을 줄 수 있으므로 발견 즉시 내원하십시오.

error: Content is protected !!