담낭과 담도질환에 대해 알아보자. 출연의는 서울아산병원 소화기내과 이성구 교수, 서울아산병원 간단췌외과 이재훈 교수이다.

담석은 말 그대로 담도에 생기는 ‘석’이다.
기름진 음식을 먹었을 때 소화를 위해 담즙이 분비된다. 여러 가지 이유로 담즙이 굳어져 담석을 생성하는데 담즙이 흐르는 어느 곳에서나 담석이 생길 수 있다.

담석은 생기는 위치에 따라 구분된다. 간 속에 생기면 간내 담석, 담낭 속에 생기면 담낭 담석, 간 밖의 담도에 생기는 담석을 간외 담도 담석이라고 부른다.


담즙이 고여 있는 담낭 속에 생기는 담낭 담석은


담낭 밖으로 나가서 담도를 막기도 한다.

이처럼 담석증 환자는 2-0년 기준으로 5년 전보다 43%나 증가했다.담석의 종류 담석은 크게 두 종류로 나눌 수 있다.


첫째는 색소성 담석이다. 담도에서 발견되는 색소성 담석은 빌리루빈과 칼슘 성분이 굳은 것으로 갈색 진흙 모양을 하고 있다. 색소성 담석은 담즙의 정체가 그 원인이다.

두 번째로 콜레스테롤 담석이 있다. 이는 주로 담낭에 많이 생기지만 노란색 또는 흰색을 많이 띤다.

담즙 내 콜레스테롤 함량이 상대적으로 높을 때 생기고 고칼로리나 지방, 탄수화물 위주의 식사, 운동량 부족이나 비만, 고지혈증, 혈당이상 등 대사증후군과 관계가 깊다.담석증의 증상

담석증의 증상으로서는 1)첫눈은 체한 듯한 소화불량이 반복되며 2)복통을 수반하고 3)구토를 하기도 한다.

4) 담석이 담도를 막으면 얼굴과 눈이 누렇게 변하는 황달이 나타난다.

또 염증이 심해지면 열과 오한이 동반된다.
담도에 문제가 생기는 간질환은 소화기질환과 증세가 비슷해 검진이 필요하다.
검진을 통해 담석이 발견됐더라도 증상이 없으면 추적 관찰한다. 그러나 담석이 지속적으로 염증을 일으켜 담낭벽에 만성 자극을 주고 담석의 크기가 3cm 이상이면 수술이 필요하다. 암으로 진행될 위험이 있기 때문이다.담도 담석내시경 시술

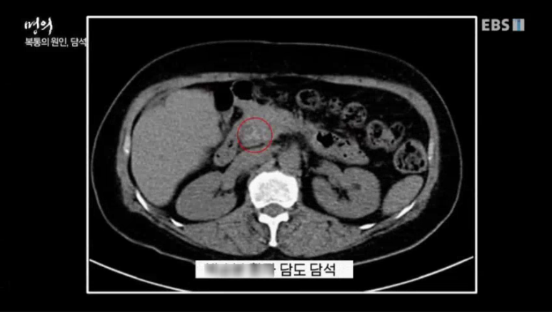
위 환자의 경우 담석이 담도를 막아 통증을 일으켰다.

환자의 CT 사진을 보면 전방담도에 담석이 확인된다. 이런 담석을 그대로 두면 염증이 심해져 합병증을 부를 수 있다. 환자는 담도 담석으로 간과 담낭까지 절제했다.
시술 과정을 시뮬레이션으로 살펴보자.

시술은 내시경으로 이뤄진다.

입에서 십이지장까지 내시경 기구를 넣는다.

담도로 접근하기 위해 먼저 유두괄약근을 절개한다.


이후 담도 담석을 원활하게 제거하기 위하여 풍선 확장술을 실시한다.

담도를 막고 있는 담석은 바스케트에서 꺼내 십이지장으로 흘려보낸다.


이후 막힌 담도에 의해 정체된 담즙은 코로 배출되도록 배액술을 시행한다. 이렇게 해야 담도염 발생을 예방할 수 있다.
실제 시술 과정을 살펴보면

여기에는 바구니를 뽑아낼 담석이 있다. 발견된 담석은 돌이라기보다는 진흙 덩어리에 가깝다. 이 담석을 십이지장으로 옮겨 대장을 통해 몸 밖으로 자연스럽게 배출시킨다.▲다발성 담석증, 담석제거 수술=이제는 수술이 아닌 담석을 제거하는 수술 과정을 살펴보자.

수술부위 최소화를 위해 복강경으로 진행한다.


앞쪽이 분홍색으로 되어 있는 것이 쓸개다.

잘라낸 쓸개는 의료용 봉투에 넣어

배꼽으로 내놓다

절제한 담낭을 자르면 담즙과 함께 담석이 나온다.

담낭에서 나온 담석이다. 가장 큰 것은 1cm 정도인데 이처럼 담석이 많은 경우를 다발성 담석증이라고 한다. 담낭 벽이 두꺼워지는 만성담낭염증에 대한 소견도 있다.간흡충(간디스토마)


간디스토마로 불리는 간흡충은 민물고기를 날로 먹을 때 감염되는 기생충 중 하나다. 국민 100명 중 2명이 감염될 정도로 감염률이 높은 병이다.

민물고기를 날로 먹고 인체에 들어온 애벌레는 성충으로 자란 뒤 담도에서 장시간 기생해 알을 낳는다.

만약 1)간흡충의 성충이 담도 점막에 내려오면 담도 점막에 염증을 유발해 담석증과 같은 심한 통증을 유발한다. 또한 기생충을 앓으면 2)담도암의 원인이 되기 때문에 국제암연구기관에서는 간흡충을 1군 발암물질로 지정하고 있다. 따라서 간흡충이 있다면 종양검사도 함께 받아야 한다. 또 담석을 만들기도 한다.

사진에서 보이는 것이 간흡충이다 간흡충은 담도에 오래 기생하지만 길게는 2030년까지 기생한다.
