
안녕하세요 예일헬스 케어입니다
지난 주 2022년 2월 15일부터 갑상선, 부갑상선 초음파 검사의 급여기준이 신설 확정되었습니다!
많은 분들이 급여기준이 어떻게 되어 있는가. 적용 범위는 어떻게 되는가? 어떤 종류의 사진을 찍어야 하는지 알고 싶은데요
에어헬스케어에서 사용 중인 AFFINITI 30을 활용하여 갑상선 초음파 급여화를 함께 준비하세요!
갑상선, 부갑상선 초음파 검사의 급여 기준 갑상선, 부갑상선 외경부 초음파의 급여 기준 각 초음파 별 급여 코드 및 보수 책정 급여 보험 적용 범위 갑상선, 부갑상선 초음파 검사의 급여 기준 by 건강보험 심사평가원 우선 은 초음파 검사의 급여 기준 전문입니다~ 전문을 먼저 확인하고 중요한 사항에 대해 나중에 요약하여 알려 드리겠습니다.
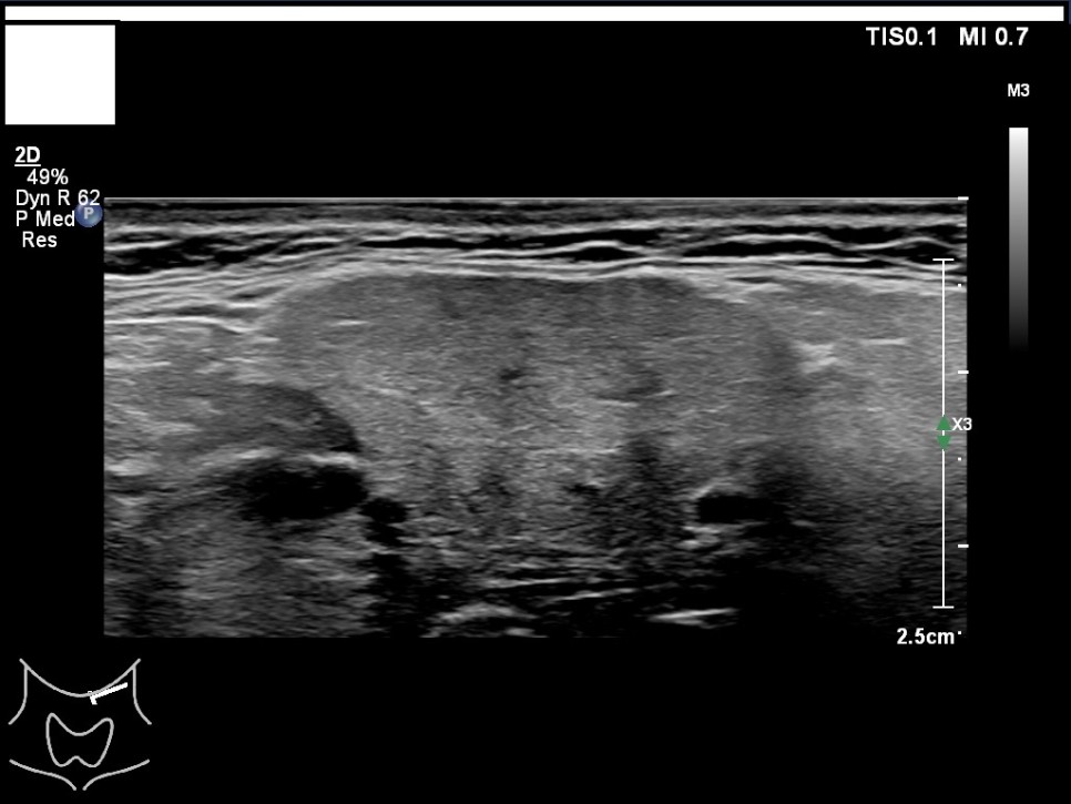
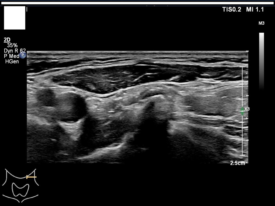
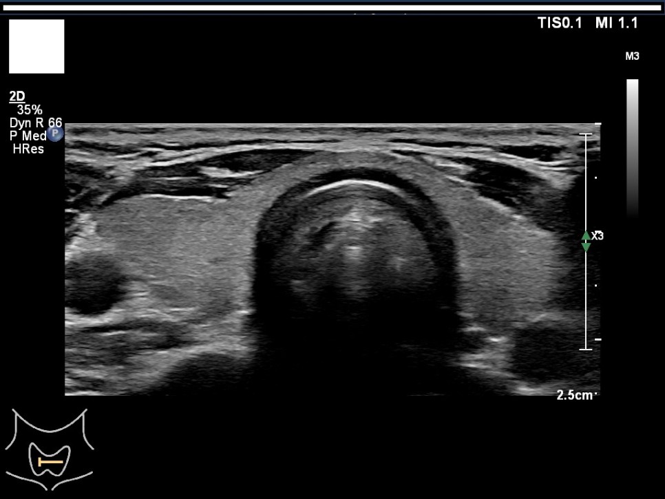
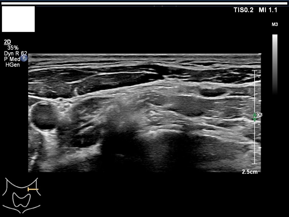
갑상선, 부갑상선 초음파 검사 급여 기준 1. 표준 영상의 범위 모든 영상에는 경부의 해부학적 위치(모식도나 문자)를 표기하여야 한다.
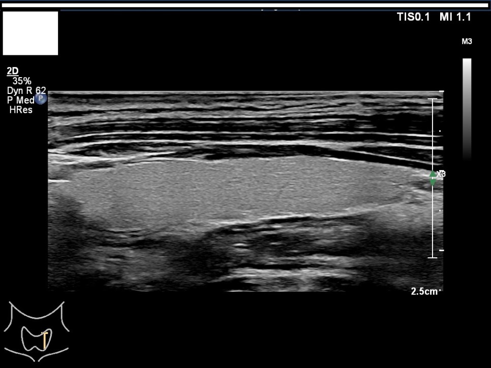
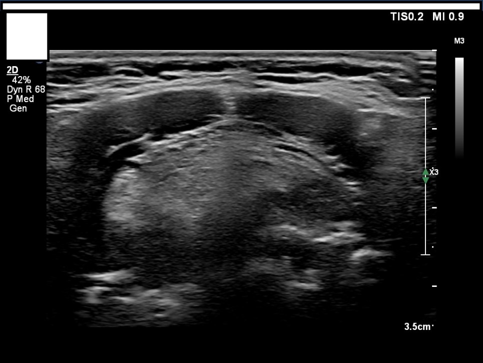
A) 병변이 없는 경우: 우엽 중부 가로 스캔, 우엽 중앙부 세로 스캔, 협부 가로 스캔, 좌엽 중부 가로 스캔, 좌엽 중앙부 세로 스캔, 우경부 림프절, 좌경부 림프절 나) 병변이 있는 경우: 병변이 없는 경우의 표준 영상과 함께 병변 부위에서 2개의 수직 관계 단면 영상(횡단/종단) 및 병변의 크기가 측정된 경우: 병변이 없는 경우의 표준 영상



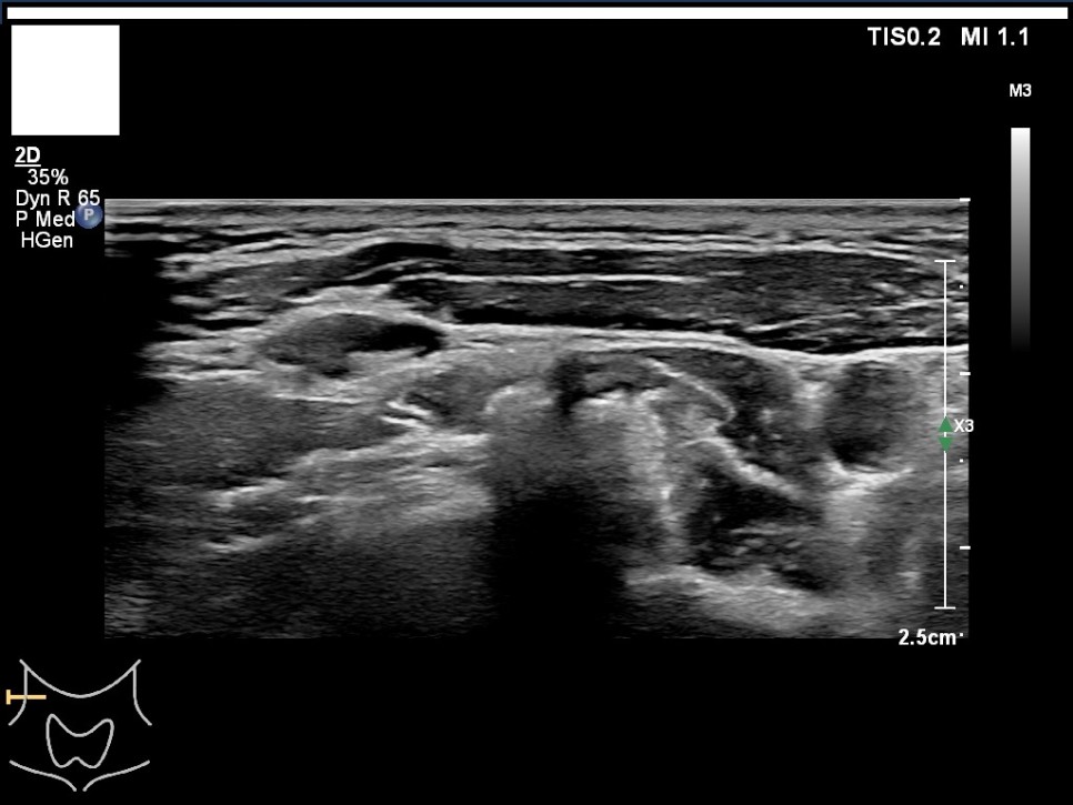
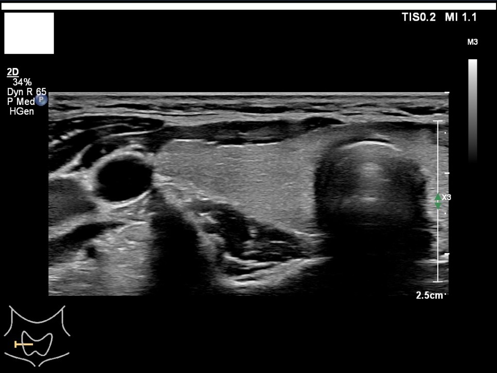
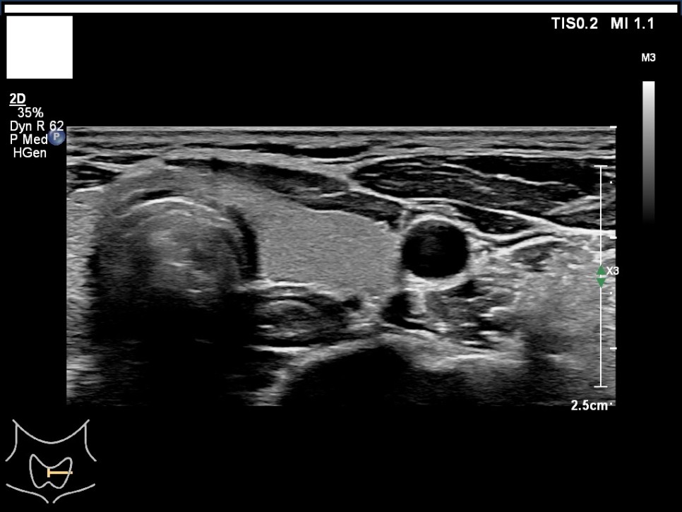
Color Doppler / 우측 경부 림프절 Level1-4 / 우측 경부 림프절 level5



좌우 이하 선 악하선 가로 스캔 1, 2 / 좌경부 림프절 level 1-4



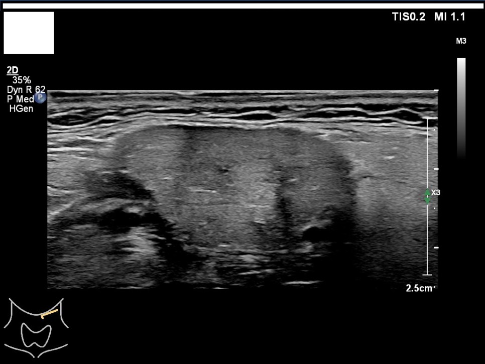
좌경부 림프절 5/우엽 중부 가로 스캔/우엽 중앙부 세로 스캔



우경부림프절/좌엽중앙세로 스캔/좌엽중앙가로스캔



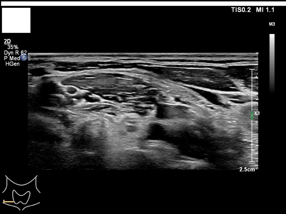
좌측 경부 림프절 / 중심 경부 림프절 / 협부 옆 스캔 2. 판독 소견서가) 등록 번호, 성명, 생년월일 또는 연령, 성별, 검사명, 검사 일시, 판독 일시, 검사와 판독한 의사(면허 번호), 의료기관명, 검사 소견 및 결론 나) 검사 소견에는 갑상선 에코, 병변의 유무를 기술하여야 한다. 결절이 있을 경우 위치, 최대지름, 주요 소견, K-TIRADS의 내용을 기술하여야 하며, 암으로 진단된 결절을 추적할 경우 위치, 3방향 직경, 주요 소견, 전 검사와 변화 여부, 경부 림프절의 평가 및 이상 소견 여부를 기술하여야 하며, 경부 림프절에 이상이 있을 경우 위치, 크기, 주요 소견을 기술하여야 한다. 결절이 여러 개 있을 경우 암 위험도에 따라 선택적으로 기술할 수 있다. 또 소아 등에서의 환자의 협력도 음창 등이 좋지 않아 표준 영상 획득에 제한이 있는 경우 추가 기술해야 한다.
3. 산정방법 갑상선부갑상선질환의 진단 후 경과관찰시 아래와 같이 인정한다.생검 결과 비정형 세포 또는 여포 종양(여포 종양 의심 포함)이 확인된 경우 경과 관찰 시 1회 가능)상기 산정 횟수를 초과한 경우 ‘선별급여 지정 및 실시 등에 관한 기준’에 따라 자기부담률을 80%로 적용한다.
2) 상기 1)의 적용을 받는 환자에게 갑상선 부갑상선의 일부 부위 확인이나 장기 사이즈 측정 등을 실시한 경우에 단순 초음파(나 940)를 산정하여 첫 회부터 ‘선별급여의 지정 및 실시 등에 관한 기준’에 의거하여 자기부담률을 80%로 적용하였다. 다만, 동일일 동일 목적으로 여러 번 시행하여도 해당 항목의 소정 점수를 1회 산정한다.
2. ‘초음파검사의 급여기준’에 의하여 인접부위의 초음파검사를 동시에 행한 경우 주된 검사는 소정점수의 100%, 제2의 검사는 소정점수의 50%를 산정하여 최대 150%까지 산정한다.
3. ‘본인 일부 부담금 산정 특례에 관한 기준’에 따른 암, 심장질환, 뇌혈관질환, 희귀질환, 중증난치질환, 결핵질환의 대상자 및 의심자(잠복결핵 감염자 제외), 신생아 중환자실 환자는 ‘초음파검사의 급여기준’을 우선적으로 적용하며, ‘초음파검사의 급여기준’을 따로 정하지 않은 경우에는 이 급여기준을 적용한다.
4. 위 1. 이외에 비급여로 검사를 시행한 경우 진료의사는 충분히 설명하여야 한다.갑상선, 부갑상선을 제외한 경부초음파검사 급여기준 1 표준 영상의 범위 모든 영상에는 경부의 해부학적 위치(모식도나 문자)를 표기하여야 한다.
A) 병변이 없는 경우:좌우측 이하선·악하선 가로 스캔 각 1장, 우측 경부 림프절 레벨 I-IV 1장과 레벨 V 1장과 레벨 V 1매 나) 병변이 있는 경우:병변 없음의 표준 영상과 함께 병변 부위에서 2개의 수직 관계 단면 영상(횡단/종단) 및 병변의 크기가 측정된 경우:병변 부위에서 2개의 수직 관계 단면 영상(횡단/종단) 및 병변의 크기가 측정된
2 판독소견서가) 등록번호, 성명, 생년월일 또는 연령, 성별, 검사명, 검사일시, 판독일시, 검사라고 판독한 의사(면허번호), 의료기관명, 검사소견 및 결론나) 검사소견에는 이하선, 턱밑선, 경부림프절의 이상 여부를 포함하여야 하며, 이상이 있을 경우 병변의 위치, 크기, 주요 소견 등 상세사항을 기재하여야 한다. 또 소아 등에서의 환자의 협력도 음창 등이 좋지 않아 표준 영상 획득에 제한이 있는 경우 추가 기술해야 한다.
나. 산정방법 1) 진료의사의 의학적 판단에 따라 갑상선·부갑상선을 제외한 경부질환의 진단 또는 경과관찰시에 다음과 같이 인정한다.
- 있고
- 가)만 19세 미만의 환자에게 갑상선, 부갑상선을 제외한 경부 질환이 의심 진단이 필요한 경우 1차례)상기 가)을 산정할 횟수를 넘거나, 경과 관찰 시”선별 급여 지정 및 실시 등에 관한 기준”에 의해서 본인 부담률을 80%에 적용한다.
- 2)상기 1)의 적용을 받는 환자에게 갑상선, 부갑상선 제외한 경부의 일부 부위의 확인이나 장기 크기 측정 등을 시행할 경우에 단순한 초음파(나 940)을 산정하고, 최초부터 “선별 급여 지정 및 실시 등에 관한 기준”에 의해서 본인 부담률을 80%에 적용한다. 다만 이 하루 동일 목적으로 여러 차례 실시해도 해당 항목의 소정의 점수를 1차 산정한다.
- 2.”초음파 검사의 급여 기준”에 의해서 서로 인접한 부위의 초음파 검사를 동시에 시행할 경우 주요 검사는 소정의 점수 100%, 제2의 검사는 소정의 점수 50%을 산정하며 최대 150%까지 산정한다.
- 3.”본인 일부 부담금 산정 특례에 관한 기준”으로 인한 암, 심장 질환, 뇌 혈관 질환, 희귀 질환, 중증 난치 질환 결핵 질환의 대상자나 의심자(잠복 결핵 감염자 제외), 신생아 집중 치료실 환자는 “초음파 검사의 급여 기준”을 우선 적용하되,”초음파 검사의 급여 기준”에서 별도로 정하지 않으면 이 급여 기준을 적용한다.
- 4. 상기 1. 이외에 비급여에서 검사를 시행할 경우 진료 의사는 충분히 설명해야 한다.
- 어떤 환자의 CASE으로 급여 보험이 인정되나요?*갑상선, 부갑상선의 초음파의 경우가)생검 결과 이형 세포 또는 난포 종양(난포 종양의 혐의를 포함)이 확인된 경우, 경과 관찰 시 1회->질환이 있거나 질환이 의심될 경우에는 적용되지 않고 반드시 생검 결과 결과 상 확인이 된 경우에만 급여 청구가 가능합니다.
- *기타 경부 초음파의 경우가)만 19세 미만의 환자에게 갑상선, 부갑상선을 제외한 경부 질환이 의심 진단이 필요한 경우 1회
- *초음파 검사의 급여 기준으로 정하교은우암을 의심하는 경우 초음파 급여 코드는 어떤가요 건강 심사 평가원 두경부-경부 초음파 갑상선 부갑상샘:EB414코드 분류 번호 이름/산정의 명칭 EB414와 941과(1)두경부-경부 초음파, 갑상선, 부갑상선 EB414001과 941과(1)두경부-경부 초음파, 갑상선, 부갑상선/제한적 EB414010이나 941과(1)두경부-경부 초음파, 갑상선, 부갑상선/도플러 EB414011과 941과(1)두경부-경부 초음파, 갑상선, 부갑상선/도플러 제한 죠크도우, 경부-경부 초음파, 경부:EB415코드 분류 번호 이름/산정의 명칭 EB415나 941과(2)두경부-경부 초음파,갑상선, 부갑상선 제외한 경부 EB415001과 941과(2)두경부-경부 초음파, 갑상선, 부갑상선 제외한 경부/제한적 EB415010이나 941과(2)두경부-경부 초음파, 갑상선, 부갑상선 제외한 경부/도플러 EB415011과 941과(2)두경부-경부 초음파, 갑상선, 부갑상선 제외한 경부/도플러 제한적. 심사 청구#진료비 청구#의료 보험 코드#갑상선의 초음파#경부 초음파#급여 코드는 급여 청구#청구의 수가#EDI코드
