안녕하세요 미드미 동물의료센터입니다.
오늘의 포스팅은 개의 자궁 축농증 수술입니다.
오늘의 주인공은 12살 요크셔테리어 보리입니다.
보리는 갑자기 생식기에서 초콜릿 같은 분비물이 흘러나와 우리 미드미 동물의료센터에 내원했습니다.
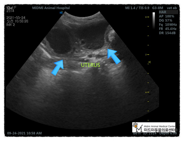
저희 병원에서 방사선, 총음파 검사 후 개의 자궁 축농증으로 진단되었습니다.

강아지 자궁축농증 수술, 강아지 레이저 물리치료 – 미드미 동물의료센터, 미드미 동물병원

강아지 자궁축농증 수술, 강아지 레이저 물리치료 – 미드미 동물의료센터, 미드미 동물병원
보리는 12세였지만 자궁축농증은 빨리 수술하는 것이 좋다고 진단되어 다음날 오전에 수술을 하기로 했습니다.


강아지 자궁축농증 수술, 강아지 레이저 물리치료 – 미드미 동물의료센터, 미드미 동물병원
수술 전 혈액검사, 초음파검사, 방사선촬영을 통해 수술 전 컨디션을 체크한 후 수술을 결정했습니다.
마취는 안전하게 호흡마취로 진행했어요.마취 중 심박수, 호흡수, 산소 포화도 정상적으로 유지되고 있습니다.
애견자궁축농증수술,강아지레이저물리치료-미드미동물의료센터,미드미동물병원
보리 자궁축농증 수술 전후 사진입니다.정말 최소 절개 수술로 절개, 봉합은 1.696 센티미터로 만들었습니다.



강아지 자궁축농증 수술, 강아지 레이저 물리치료 – 미드미 동물의료센터, 미드미 동물병원
보리 자궁 축농증 수술은 최신 혈관 봉합 기기인 리가슈아를 사용했습니다.리가슈아를 사용하여 수술시간은 29분이 걸렸습니다.


강아지 자궁축농증 수술, 강아지 레이저 물리치료 – 미드미 동물의료센터, 미드미 동물병원
보리개의 자궁축농증 수술을 마친 후 수술 부위의 레이저 물리 치료를 해 주었습니다.

강아지 자궁축농증 수술, 강아지 레이저 물리치료 – 미드미 동물의료센터, 미드미 동물병원

강아지 자궁축농증 수술, 강아지 레이저 물리치료 – 미드미 동물의료센터, 미드미 동물병원
실제 레이저 물리치료 동영상입니다.3분 정도 걸립니다.
애견자궁축농증수술,강아지레이저물리치료-미드미동물의료센터,미드미동물병원
보리는 마취에서 깨어나 병원에 5일간 입원하면서 수액처치를 받았고 개 영양주사를 맞고 레이저 물리치료를 받았습니다.


강아지 자궁축농증 수술, 강아지 레이저 물리치료 – 미드미 동물의료센터, 미드미 동물병원

강아지 자궁축농증 수술, 강아지 레이저 물리치료 – 미드미 동물의료센터, 미드미 동물병원
보리는 5일 동안 입원하면서 컨디션을 회복하고 건강하게 퇴원했습니다.
보리개의 자궁축농증 수술을 우리 미드미 동물의료센터를 믿고 맡겨 주셔서 진심으로 감사드립니다.서울특별시 강동구 양재대로 1588 연우빌딩