담석증, 밤이 되면 명치 끝이 아프고 체하는 듯한 복통으로 인한 증상, 밤이 되면 위통증에 시달리며 1년 원인은 담석증 복통
저녁에 좀 과식하고 싶으면 꼭 상복부 명치 끝에서 바로 옆 오른쪽 부분이 답답하고 너무 아파요
정확한 위치는 명치가 아프고 숨을 내쉬면서 배를 불리면 통증이 더 심하다.
다른 증상은 1년 전 등에 날카로운 무언가를 찌르는 듯한 통증이 12초 동안 여러 차례 반복됐습니다.

하얀 점이 1~2mm 정도 담석이에요건강검진을 10년 전부터 계속 받아왔고 쓸개에 석이 1~2mm 정도 있다는 결과를 받아 미루었으나

원인을 찾으려고 차움건강검진센터를 예약해서 대장내시경, 위내시경, 초음파검사를 하면서 직장종양을 발견하고 강남 차병원에 가서 직장점막하종양제거수술을 받고
명치의 아픈 원인을 찾으려고 CT 촬영을 했는데도 원인을 찾지 못했어요.
지금까지 아플 때 기록해 둔 메모를 보여드리도록 하겠습니다.
7월 3일 점심 중식, 저녁식사 닭볶음탕 프루츠콜라 오른쪽 상복부 호흡이 곤란해 숨을 들이쉬면서 복부 팽창시키면 복부 통증이 더욱 심하다.
8월 4일 새벽 3일 제주도에서 차담치킨 먹고 4일 오전 라면 집에 와서 점심에 피자 3조각 이후에 저녁 라면 1개 피자 1조각 먹은 새벽에
2시23분 통증으로 깨어나는 통증이 예전처럼 크지는 않지만 숨을 들이마시면 명치 오른쪽이 통증이 심해진다.
엎드린 상태에서 몸을 트위스트로 비틀면 한결 편해지는 3시 넘어서
업은 자세로 누워 있다가 통증이 가라앉아 잠이 든다.
9월 13일 약간 통증 9월 20일 오전 김치찌개 햄 12시 30분 커피와 크루아상 몽블랑 피자빵 아메리카노 상아목장 아이스크림 그린공원에서 먹고
집에와서 오후3시쯤부터 숨쉬기가 어느정도 풀려서 저녁8시쯤 김치찌개 조금 먹었다 새벽2시에 아파서 깬 오늘도 숨을 들이마셨다
마시면 명치가 고통스럽고 업힌 상태지만 너무 심한 공통점은 아니다.
9월 22일 낮라면 1개 저녁 6시경 짜파게티 1개 7시경부터 답답했는데 8시경부터 명치가 아파서 숨을 내쉬면서 배가 부르면
▲통증이 더 심하다=현재 10시 27분 통증은 조금 완화된 느낌
10월 19일 1시 52분 오른쪽 상복부 통증으로 얼굴이 샌드위치라면 식사 저녁에
요즘 요구르트만 먹다가 배고파 현미밥을 만들어서 이면수 조림 청국장
고구마와 두부 두 조각을 먹어 더욱 통통한 느낌이 든다.전체적으로 배가 빵빵해.
11월 1일 2시 40분 참깨 점심 김치찌개 라면 저녁 소량 계란 1개 아이스크림 명치 고통스러워 일어나는 3시 50분까지 걷는 러닝 통증이 사라진다
11월 15일 22시경 점심 순두부찌개를 먹고 45시경 속이 좀 불편하다.사무실에 왔을 때는 좋아졌다.
7시 퇴근 후 죽과 감을 하나 먹고 소화가 잘 되지 않아 트림이 나서 8시 30분쯤 걷기 운동을 하려고 나온다.
처음 가볍게 몇 번 달리고 9시 30분까지 하다가 명치와 오른쪽 갈비뼈 안쪽이 아프기 시작해 심호흡과 아주 천천히 걷기 시작한다.
그래도 호전되지 않고 앉아 있다가, 걷다가 반복해서 10시경 통증이 심해진다.쭈그리고 앉아 차를 타고 집에 온 후 10시~12시 30분까지 아픕니다.
통증증상 지금까지 통증중 가장 크고 정신이 혼미할 정도로 머리를 부딪혀 몸을 움츠린 상태가
그래도 통증이 적은 뱃속을 무엇으로 찌르는 듯 허리를 펴지 못한다.
낮 12시 20분경 아내가 이지엔진 진통제 한 알을 먹고 통증이 완화된 뒤 곧바로 한 알을 먹고 회복 상태로 돌아간다.
11월 18일 점심에 김치찌개 라면사리 넣고 밥그릇 하면서 사리 먹고 사무실에서 팥빵 작은거 2개 커피 마시고 5~6시 사이쯤에 조금씩
트림과 함께 음식 역류 현상 7시 퇴근 후부터 명치와 오른쪽 상복부 통증이 나기 시작하는 진통제 3알 먹어도 아프고 동네 좋은 병원
차병원에서 찍은 CT, 초음파, 대장, 위카메라 CD를 보여드리며 담석증 소견과 신장 10cm 정도의 물집을 제거하도록 원장.
말씀해주셔서 진료의뢰서를 가지고 집에와서 9시부터 격심한
진통이 다시 시작돼 10시경 국제성모병원 응급실로 달려간다.1차적으로 진통제
처방을 받고 기다리는 동안 죽는가 했더니 나의 재촉으로 1차 진통제
맞아도 효과가 없어 2차 진통제를 맞은 지 30분이 지나도 효과가 없어 3차 마약성 진통제를 맞아 정신이 혼미해지고 통증이 약간 사라지는 느낌이 든다.
그 시간이 12시 30분쯤 온몸으로 아픔을 참는 6시간정도였고 말로 표현하기 힘들듯 1시가 넘어서 집으로
돌아오는 길에 외래예약을 해놓고 11월 20일 9시 10분 결과를 알아줬으면 좋겠어.
1년이 지나도 원인을 찾지 못하고 수많은 병원을 다니면서 식도염이라고 식도염약을 먹고 위궤양이라고 위궤양약을 먹고
협심증에 걸리면 그럴 수 있다고 CT까지 찍어도 원인을 모른다며 도움이 안 돼서 미안하다는 말만 듣고 자꾸 답답할 뿐이에요.
11월 20일 국제성모병원에 아내가 그저께 아파서 응급실에서 고통을 느꼈을 때 좋은 병원 과장이 간담췌 ECT 내시 겸 하라고
혀와 느낌이 담석증 증상인 것 같다고 해서 인터넷 폭풍 검색 후 담낭 측 외과 외래 예약을 해두고 가는 길입니다.
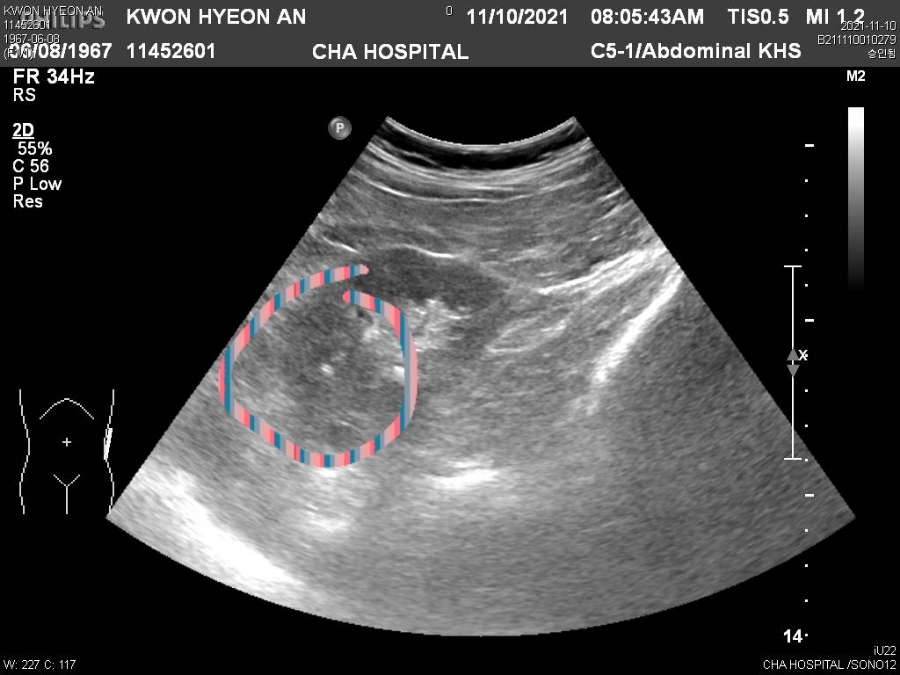
성모병원 외과전문의가 있는 바로 초음파실로 찾아가 진료 시작 후 10분 정도 초음파로 구석구석
구석구석을 살펴보고 진료실로 오라고 해서 진료실에 가서 결과를 듣기 시작했어요.
너무 뚜렷하게 밤과 새벽에만 아프지 않던가요?얼굴에는 언제 그랬냐는 듯이 사라집니다.
말하면서 담석염입니다담석증으로 사용하는 게에 있는 돌이 몇 번이나 빠져 나오기 때문에 담낭벽에 염증을 일으키는 병입니다.
곧 수술하시겠죠? 그런데 너무 기쁘고 시원했는지, 지금까지 병원 다니면서 담석이 아닐까.
물어보니까 아픈곳이 아니라고 사이즈가 1~2mm정도라서 아픈곳이 아니라고 하던데ㅠㅠ
제가이런글을남기는이유는담서증에는사람마다다르기때문에저와같은일을겪어보시는분들을위해서조금이나마움이되었으면좋겠습니다.
저는 세브란스병원에 담석제거 예약해 놓은 상태이고, 담석수술 리뷰는 다시 올려 공유해 보겠습니다.